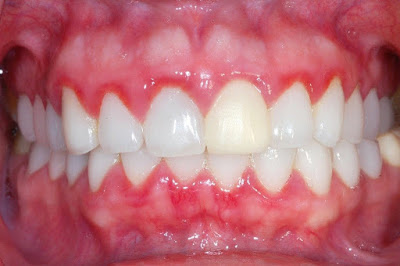
Tìm hiểu về bệnh tụt lợi và các mẹo trị tụt lợi đơn giản hiệu quả

Bệnh tụt lợi chân răng tuy không hề nguy hiểm tới tính mạng nhưng nếu không chữa trị kịp thời sẽ để lại rất nhiều phiền phức, tác động tới chất lượng cuộc sống. Hãy cùng tìm tòi về bệnh bị tụt lợi và các mẹo trị tụt lợi đơn giản hiệu nghiệm dưới đây nhé!

mẹo điều trị tụt lợi

Lý do của bệnh tụt lợi:


Vệ sinh răng miệng không đúng cách

Viêm lợi, viêm chóp răng

Xâm phạm khớp cắn

Không chính xác vị trí niêm mạc

Vôi răng tích tụ quá nhiều

Tại sao nên điều trị tụt lợi càng sớm càng tốt?


Răng bị bị tụt lợi, nếu không được phát hiện và trị bệnh kịp thời, sẽ rất đơn giản dẫn tới nhiều tiền sử bệnh nguy hiểm:

Khiến răng trông dài và xấu hơn

Viêm nướu chân răng, viêm chân răng, viêm nha chu răng, viêm tủy, chảy máu chân răng…

Răng bị lung lay, thậm chí là mất răng

Tiêu tế bào xương ổ răng

Hạn chế chức năng ăn nhai

Tăng nguy cơ đau nhức răng

Những mẹo trị tụt lợi ngay ở nhà đơn giản, hiệu nghiệm


Mẹo trị tụt lợi ở nhà bằng trà xanh


Theo nghiên cứu, trong trà xanh không chỉ mình có chất chống oxi hóa, nó còn có sự xảy ra của catechin – một chất đặc biệt có tác dụng củng cố cộng tác giữa lợi và răng, điều trị tụt lợi công hiệu.

Cách thực hiện:

Chuẩn bị lá trà xanh rửa sạch, tiếp đó vò cho lá hơi nát và cho vào đun cùng với nước sạch. Đun sôi nước trà dao động 3 – 5 phút, để nguội và có thế dùng được. Mẹo trị tụt lợi bằng trà xanh khá dễ dàng, bạn chỉ cần áp dụng nước xúc miệng vào mỗi buổi sáng hoặc uống trà xanh thay thế cho nước lọc trong ngày.

Việc bền chí sử dụng nước lá trà xanh chẳng những tu tạo được thực trạng tụt lợi mà còn mang đến khoang miệng của bạn luôn có mùi thơm không bị khó chịu và một cơ thể sảng khoái, tỉnh táo suốt cả ngày dài.

Mẹo trị tụt lợi với hỗn hợp kem chanh và dầu oliu


Chanh có hoạt chất kháng khuẩn rất tốt nên có thể tiện lợi diệt sạch những con vi khuẩn gây ra viêm nướu lợi, Nguyên do chính yếu gây tình trạng tụt lợi. Trong khi đó, dầu oliu lại có công dụng loại sạch những mảng bám cứng đầu trong khoang miệng, giúp ngăn chặn thực trạng tụt lợi tiếp tục xuất hiện.

Cách thực hiện:

Bạn lấy khoảng 240ml chanh vắt trộn với 1 thìa cà phê dầu oliu. Cẩn thận là lắc đều hợp chất lên nhưng không được sử dụng ngay. Bạn phải để trong khoảng 3 – 4 tuần rồi mới lấy ra và sứt lên vị trí lợi bị viêm, tụt, massage nhẹ bẫng dao động 2 phút rồi súc miệng lại.

Bền chí triển khai như vậy với hỗn hợp khoảng 2 lần/ tuần, sau một thời kì, bạn sẽ thấy sự biến đổi rõ rệt.

Vệ sinh răng miệng đúng cách giúp giảm tụt lợi


Việc vệ sinh răng miệng đúng cách hàng ngày không riêng giúp bạn ngăn chặn được tình trạng tụt lợi mà còn là cách Phòng tránh những bệnh răng miệng công hiệu.

Cách thực hiện:

Vệ sinh răng miệng 2 lần/ngày bằng bàn chải răng lông mềm và hỗn hợp đánh răng hài hòa sẽ giúp giảm thiểu đáng kể đổi mới của bệnh. Cùng lúc đó, bạn nên tạo hợp với làm sạch khoang miệng sau khi ăn bằng việc áp dụng chỉ trung tâm nha khoa và xúc miệng nước muối loãng hàng ngày.

Mẹo trị tụt lợi từ quả cau cực công hiệu


Chuẩn bị: Trước khi tiến hành tự tạo ra loại thần dược dân gian này. Bạn cần phải chuẩn bị từ 20-25 quả cau tươi và 1 lít rượu trắng. Bạn nên chú ý chọn lựa rượu lúa mới của nhà máy, do loại rượu này đã được khử tuyệt đối chất độc andehit)

Cách làm: Tước hết phần vỏ xanh của quả cau bằng dao rồi lại tước hết phần vùi trắng, để lại phần hạt. Phần hạt này bổ ra làm đôi hoặc làm tư. Sau đó, bạn đổ toàn bộ cùi trắng và hạt cau vào chai rượu đã chuẩn bị trước đó rồi đậy chặt nút và để dao động 1 tháng. Khi nước cau đã chuyển sang màu sắc cách rán là bạn hoàn toàn có thể áp dụng được.

Cách dùng: Sau khi đánh răng, hãy ngậm một ngum rượu cau khoảng 5-10 phút rồi nhổ đi. Giữ nguyên, không sức miệng, hay ăn uống trong 30 phút để thuốc có thời kì ngấm vào từng chân răng kẽ lợi. Thực hiện hằng ngày 2 lần, hiện trạng tụt lợi của bạn sẽ giảm đáng kể.

Mẹo trị tụt lợi tại nhà với lô hội


Lô hội được biết tới không chỉ mình là một loại thần dược cho sắc đẹp và làn da mà còn được sử dụng khá rộng rãi trong việc điều trị tụt nướu chân răng ở nhà. Bởi tính chất Giải nhiệt, làm mát cho cơ thể. Đối với triệu chứng viêm lợi, tụt lợi thì việc cơ thể bị nóng cũng được cho là Nguyên do hay gặp.

Bạn có thể sử dụng gel lô hội để sứt lên chỗ lợi cần trị bệnh, để trong khoảng 3 – 5 phút rồi súc miệng lại thật sạch. Hoặc bạn cũng có thể vận dụng một cách khác là pha gel lô hội với nước để súc miệng hay cho vào bàn chải và đánh răng.

Mẹo trị tụt lợi ở nhà với dầu mè


Trong dầu mè cũng có chất chứa thành phần chống sưng viêm. Đặc biệt, với phương pháp này, bạn có thể tiện lợi tìm thấy nguyên liệu ngay trong căn bếp của nhà mình. Tuy thế, phương pháp làm hơi cầu kỳ một ít, bạn thu thập khoảng 1 – 2 muỗng canh dầu mè, đun ấm lên rồi nhúng bàn chải vào và đánh răng một nhẹ nhàng. Tiếp đến, bạn ngậm một chú dầu trong miệng khoảng vài phút, hoàn toàn có thể làm động tác súc miệng rồi nhổ ra và đánh răng lại bằng hợp chất đánh răng cho sạch.

Xem thêm:



Read more…

Mẹo trị tụt lợi nào đơn giản hiệu quả?

Tụt lợi là một dạng hình thực trạng sức khỏe bệnh viện rất phổ biến ở nhiều người hiện giờ. Thế nên, phát hiện sớm Lý do gây bệnh, chắc chắn sẽ giúp bạn có chiến lược chữa trị tối ưu hơn, tránh khỏi dẫn tới hậu quả đến các răng khác và thời kì khôi phục cũng được rút ngắn đáng kể. Cùng tìm tòi các mẹo trị tụt lợi qua bài viết này nhé!

mẹo trị lợi bị tụt

Tụt lợi là gì?


Tụt lợi là quy trình để lộ bên trên của chân răng do phần kết nối giữa chân răng và nướu (phần xi măng kết dính) không còn. Sự di chuyển của nướu răng về phía dưới của chóp chân răng cho người bệnh cảm thấy răng dài hơn, phần cổ chân răng bị lộ nhiều tạo ra các khoảng khe hở kẽ răng. Thực chất của tụt lợi là do lợi bị thiếu.

Ảnh hưởng của bệnh tụt lợi:


Bệnh bị tụt lợi chân răng gây các tổn thương khá nghiêm trọng đối với bệnh nhân. Một số nguyên nhân gây hại hoàn toàn có thể kể đến như: mất men răng; ê buốt răng; mòn cổ chân răng; tăng thêm những tiền sử bệnh răng miệng và giảm thẩm mỹ khuôn hàm răng; ảnh hưởng tới tổ chức quanh răng vì không còn được nâng đỡ, bảo vệ bởi nướu răng và dây chằng viêm nha chu. Song song là tác nhân gây một vài chấn thương về răng nghiêm trọng.

Lý do gây thực trạng tụt lợi:


Bệnh nha chu: Nha chu răng hoàn toàn có thể dẫn tới nhiễm trùng ở phần nướu. Chúng làm tổn thương phần tế bào xương hỗ trợ tế bào xương chân răng và nướu lợi.

Vệ sinh răng miệng kém: Khi bạn không chải răng, mảng bám sẽ bám vào trên răng và góp phần gây thực trạng tụt lợi.

Đánh răng quá mạnh: Đánh răng thường xuyên chưa chắc đã tốt nếu bạn đánh răng quá mạnh. Men răng hoàn toàn có thể bị hư hỏng và điều này cũng gây ra tụt nướu chân răng.

Do gene: 1 vài thực trạng bị tụt lợi không do các Nguyên nhân ở trên và được cho là có liên quan đến gene. Hoàn toàn có thể Đó là tình trạng hoàn toàn có thể di truyền từ thế hệ này đến thế hệ khác.

Những mẹo trị tụt lợi công hiệu


Vệ sinh răng miệng đúng cách: Một cách đơn giản nhất để phòng và điều trị bị tụt lợi chân răng hiệu quả ngay tại nhà chính là chỉ định cách vệ sinh răng miệng đúng kỹ thuật. Với 3 bước cơ bản: chải răng đúng cách – sử dùng chỉ trung tâm nha khoa – vận dụng nước súc miệng. Các liệu pháp vô cùng đơn giản nhưng sẽ giúp bạn bảo vệ và chăm nom răng cực kì hữu hiệu.

Thu thập vôi răng thường xuyên: Một trong những Nguyên nhân dẫn tới tụt lợi nguồn gốc từ virut trong các mảng bám vôi răng trở thành và tấn công nướu chân răng. Bởi thế, cạo vôi răng thường xuyên và định kỳ 3 – 6 tháng/ 1lần sẽ giúp loại bỏ tác nhân gây bệnh, triệt ổ viêm triệt để giúp nướu săn chắc, hồng hào, và giảm sút tiền sử bệnh răng miệng.

Điều trị bệnh lý răng miệng: Nếu bị các thực trạng sức khỏe răng miệng như: nha chu, viêm cổ chân răng, viêm tủy,.. Thì bạn nên mau chóng chữa chạy để ổ viêm không lây nhiễm và dẫn tới ảnh hưởng đến vùng nướu răng cùng với.

Ngậm máng có chứa gel flour: Bạn có thể chữa trị thực trạng tụt lợi bằng cách ngậm máng có chứa gel flour để bù đắp và phục hồi lại phần kết nối giữa chân răng và nướu chân răng. Nếu bệnh bị bệnh tụt lợi đã chuyển nặng và có triệu chứng tác động sâu thì cần phải thực thi trị liệu ghép vạt màng nhầy mới chữa khỏi. Phần màng nhầy sẽ được dùng ở vùng răng cùng với, không đi kèm bất cứ nguyên liệu nào khác giúp bù đắp mau chóng tình trạng bệnh.

Xem thêm: 



Read more…

Những biểu hiện của bệnh sưng lợi và cách chữa sưng lợi hiệu quả

Trong vấn đề bệnh sưng lợi chưa phát triển quá nặng, những cách chữa sưng lợi răng ngay ở nhà luôn là chọn lọc của rất nhiều người bệnh. Thông tin sau đây sẽ hướng dẫn bạn phương pháp chữa sưng lợi bằng những chất liệu dân gian rất hiệu quả nhất. Hãy cùng xem thêm ngay nhé!

cách chữa sưng lợi

Những dấu hiệu của bệnh sưng lợi:


Chảy máu chân răng, ở thời gian đầu có thể khi đánh răng với lông bàn chải quá sắc hoặc tác động do ăn uống sẽ làm lợi bị chảy máu. Tuy nhiên, công đoạn nặng lợi hoàn toàn có thể chảy máu bất kỳ lúc nào.

Nướu sưng đau, căng khi chạm vào có cảm thấy đau do bên trong có nhiều chất dịch chữa trị vi khuẩn nhiễm trùng.

Lợi chuyển sang màu sẫm chứ không còn hồng như ban đầu.

Răng lung lay đặc biệt là ở giai đoạn nặng do lợi bị viêm nên chân răng chẳng thể bám chắc được.

Hơi thở có mùi hôi do viêm răng lợi chứ không phải vì hơi đẩy lên do đau bao tử mãn tính.

Răng có nhận thấy ê buốt khi ăn đồ nóng hoặc lạnh biết rằng trước khi bị bệnh sưng lợi răng bạn hoàn toàn có thể ăn những đồ ăn này rất tốt.

Hơi thở có mùi hôi gây khó chịu mặc dầu đánh răng xong vẫn có mùi khiến bạn mất tự tin trong gặp mặt.

Giải biện pháp chữa sưng lợi công hiệu, đơn giản thực hành tại nhà


Chữa sưng lợi răng bằng lá bàng non hiệu quả


Công dụng: Trong lá bàng có chứa đựng chất kháng khuẩn cao và rất thích nghi để chữa những bệnh răng miệng, làm sạch khoang miệng, loại bỏ mảng bám… Trong đấy, có công dụng điều trị hiệu quả nhất bệnh sưng lợi.

Cách thực hiện: Bạn chỉ cần rửa sạch lá bàng và cho vào nấu cùng với nước, sôi khoảng 30 phút là được. Lọc thu thập nước lá bàng và áp dụng nước đấy xúc miệng hàng ngày. Hoặc bạn cũng hoàn toàn có thể dùng khăn thấm nước lá bàng và xoa vào chỗ viêm lợi. Lặp lại nhiều lần trong ngày cho đến khi thấy kết quả chi tiết.

Chữa sưng lợi công hiệu bằng hoa cúc


Công dụng: Hoa cúc có tính mát, Đồng thời hoàn toàn có thể kháng viêm, Cho nên đây được cho là nguyên liệu làm trà Giải nhiệt và bài thuốc chữa sưng nướu dễ và công hiệu.

Cách thực hiện: Áp dụng một nắm hoa cúc tươi, rửa sơ qua cho hết bụi bẩn. Tiếp theo giã nát và lọc chọn lọc nước, sử dùng để uống mỗi ngày. Không những thế, bạn cũng có thể uống trà hoa cúc thay nước lọc, chẳng những tình trạng viêm lợi thuyên giảm mà cơ địa cũng được thanh lọc, giảm nóng trong công hiệu.

Cách chữa sưng lợi bằng baking soda


Công dụng: Baking soda hay hay được gọi là bột nở được biết đến như là một thứ nguyên liệu để làm bánh. Song song, người ta còn thường sử dụng bột nở để tẩy trắng răng hiệu nghiệm. Với công dụng đề phòng vi khuẩn trong khoang miệng, trung hòa axit, vì thế, baking soda còn hoàn toàn có thể giúp chữa sưng lợi cực hiệu quả, và phòng ngừa những tiền sử bệnh răng miệng khác.

Cách thực hiện: Cách thực thi là bạn hòa baking soda với một ít nước ấm thành hỗn hợp kem sền sệt. Tiếp theo, bạn vận dụng hợp chất này để đánh răng như một loại kem đánh răng bình thường.

Chữa sưng lợi công hiệu từ trà:


Trong trà đã qua áp dụng có lượng a xít tannic có thể giảm sưng lợi rất tốt mà không phải ai cũng biết. Bạn chỉ cần triển khai dễ là sau khi bạn ngâm túi trà trong nước sôi, hãy để nguội một chút. Sau đó đặt túi trà nguội lên phần nướu lợi bị viêm dao động 5 phút hoặc lâu hơn. Đây chính là biện pháp chữa trị ngay ở nhà rất đơn giản để phòng ngừa bệnh sưng lợi.

Tỏi tươi chữa sưng lợi:


Trong tỏi có chất chứa những kháng sinh tự nhiên có công dụng khử khuẩn rất tốt. Bởi thế tỏi không chỉ mình chữa sưng lợi chân răng mà còn giúp giảm đau tự nhiên rất công hiệu. Bạn nghiền nát một tép tỏi, cho thêm một tí muối và phết hợp chất này vào chỗ lợi bị sưng.

Lá khuynh diệp chữa sưng lợi răng:


Bạn tổng hợp một vài lá khuynh diệp chà lên nướu hoàn toàn có thể giúp làm hạn chế và chống cơn đau liên quan tới bệnh sưng lợi. Đó là vì lá khuynh diệp có đặc tính chích thuốc tê, từ đó làm mất nhận thấy đau. Những vết sưng ở lợi cũng giảm đáng kể.

Những cân nhắc trong các bước chữa sưng lợi:


Thường xuyên sử dụng các liệu pháp làm sạch mặt trông thấy của răng lợi, nếu có quá nhiều mảng bám nên tới nha khoa để làm sạch cao răng.

Hằng ngày nên đánh răng 2 lần, nếu có thể đánh răng sau mỗi bữa ăn 30 phút là tốt nhất, không nên chải răng ngay sau khi ăn hoàn toàn có thể khiến axit đẩy sâu vào trong men răng.

Với trẻ em nên dùng bàn trải thật mềm hoặc áp dụng khăn vệ sinh thì tốt hơn.

Thực hiên vệ sinh răng lợi nhẹ tênh khi bị sưng lợi, đầy đủ không nên làm mạnh tay hoặc làm qua loa cho xong.

Hạn chế ăn các thực phẩm cay nóng, đồ chua, thức ăn quá mặn sẽ khiến lợi bị thương tổn đơn giản chảy máu hơn và hiện trạng sưng lợi nặng hơn.

Giảm bớt ăn vặt vì lượng axit trong đồ ăn tích tụ nhiều chính là Nguyên do dẫn đến lợi bị sưng, sâu răng.

Áp dụng nước súc miệng diệt khuẩn hơn thế nữa với thuốc trị sưng lợi cũng là cách chữa sưng lợi chân răng. Viêm chân răng rất hiệu nghiệm.

Nên sử dụng chỉ bệnh viện sau khi ăn xong để vệ sinh răng miện sẽ tối ưu hơn áp dụng tăm, vì nhiều loại tăm khá sắc hoàn toàn có thể gây chảy máu lợi và xước men răng.

Xem thêm:




Read more…

Các mẹo chữa sưng lợi đơn giản hiệu quả

Sưng lợi chân răng là hiện trạng khá thông dụng ở khá nhiều người Tuy thế nếu không được trị bệnh kịp thời có thể gây ra hậu quả gây mất răng vĩnh viễn. Kiến thức sau đây sẽ cung cấp cho bạn một số thông tin cụ thể về bệnh sưng nướu răng và phương pháp chữa sưng lợi chân răng dễ hiệu quả nhất, hãy xem thêm ngay nhé!

cách chữa sưng lợi

Sưng lợi chân răng là gì?


Sưng lợi là các triệu chứng bệnh về răng miệng hay gặp phải ở tất cả mọi người kể cả người lớn và trẻ em. Đây là căn bệnh dễ dàng, đa dạng nhưng nếu không chữa trị kịp thời, để tái phát nhiều lần, bệnh sẽ rất thuận tiện có những rủi ro nguy hiểm.

Dấu hiệu của sưng lợi:


Sưng lợi là thực trạng vùng lợi xung quanh răng bị sưng đỏ, phồng lên, chảy máu gây ra đau nhức Nếu không được trị bệnh sưng lợi răng còn dẫn đến lở loét, mưng mủ. Lâu ngày, lợi sẽ tụt xuống và trở nên các túi mủ làm lộ chân răng, khi bị các kich thích bên ngoài ảnh hưởng vào như nóng hoặc lạnh có thể dẫn tới thực trạng ê buốt, nhức chân răng.

Lý do gây sưng lợi


Chăm sóc răng miệng không đúng phương pháp, mảng bám vi khuẩn trên răng chưa được làm sạch

Chương trình ăn uống chưa khoa học, thường ăn đồ ăn mềm, kích thích nóng lạnh một cách đột ngột

Vận dụng chất kích thích, uống chất kích thích khiến răng đổi màu, chân răng yếu đi

Sự tụt giảm miễn nhiễm, đổi khác hormon trong cơ địa tạo nên vi khuẩn phát triển

Sâu răng, vi khuẩn dẫn tới thương tổn phần lợi bao trùm

Phương thức chữa sưng lợi hiệu quả nhất không uống thuốc


Cách chữa sưng lợi ở tại nhà bằng dầu đinh hương và húng quế


Liên kết dầu đinh hương và húng quế là vị thuốc tuyệt vời chữa sưng lợi, đặc thù đối với những cơn đau răng.

Cách chữa sưng lợi ở nhà này tiến hành rất đơn giản.

Cách 1: Bạn trộn lẫn hai loại tinh dầu này rồi xoa nhẹ nhàng vào chỗ đau.

Cách 2: Nhai đinh hương cũng có thể giảm sưng đau.

Cách 3: Rắc một ít quế vào nước ấm và uống loại nước này, cơn đau răng có thể giảm đáng kể.

Cách chữa sưng lợi ngay ở nhà bằng hành


Hành có tính kháng khuẩn, sát trùng hiệu quả nhất để trị những bệnh răng miệng dẫn đến sưng nướu. Nó có chất sulfuric và các chất phòng ngừa oxy hóa làm giảm sưng đau, giảm những triệu chứng sưng viêm.

Cắt một miếng hành sống, nhai trong vài phút có thể giảm sưng đau. Hoặc bạn có thể ép hành tổng hợp nước trét lên nướu lợi giúp giảm đau.

Cách chữa sưng lợi răng tại nhà bằng nước ép việt quất


Nước ép việt quất tự nhiên chứa các chất phòng ngừa oxy hóa, chống viêm mạnh, tu tạo sức khỏe răng miệng. Nó còn điều hòa pH của nước miếng, giảm nấm, vi khuẩn. Bạn chỉ cần uống khoảng nửa ly nước việt quất hai lần hằng ngày.

Vận dụng nước muối là cách chữa sưng lợi ở nhà tiết kiệm


Muối là cách chữa sưng lợi đơn giản nhất và thuận lợi chỉ định cho tất cả người.

Cách thực hiện: Bạn hoàn toàn có thể pha một tí muối ấm và súc miệng 3 lần/ngày và hãy đảm bảo là nước không quá nóng sẽ dẫn tới bỏng sưng nướu.

Cách chữa sưng lợi ngày tại nhà với bưởi


Bưởi có chứa nhiều vitamin C, giúp kháng viêm, tiêu viêm, tiệt trùng và làm lành vết thương mau chóng. Cách thực hành rất dễ dàng, bạn chỉ cần ăn từng ngày một trái bưởi. Sau một thời gian ngắn, tình trạng phơi nhiễm có thể giảm nhẹ và biến mất.

Với khả năng chống sưng viêm rất tốt nên khi bị sưng nướu thì ăn bưởi hằng ngày sẽ làm giảm sút các biểu hiện đau răng sưng lợi, sau vài lần sử dụng cam đoan bạn sẽ thấy các biểu hiện của bệnh sưng lợi răng thuyên giảm một cách rõ rệt nếu muốn hiệu nghiệm hơn có thể uống thêm tam thất bắc trộn mật ong

Cách chữa sưng lợi răng tại nhà bằng mật ong


Mật ong không riêng có công dụng làm đẹp da mà còn có thể là một cách chữa sưng lợi sâu răng cực hiệu nghiệm với cơ hội kháng khuẩn tốt.

Bạn có thể sử dùng mật ong bằng cách xoa một lượng nhỏ lên phần lợi bị viêm, rồi tiếp đó súc miệng sạch sẽ sau khoảng 10 – 15 phút. Áp dụng cách này trong khoảng 1 tuần, đều đặn từng ngày từ 2 – 3 lần sau khi ăn, viêm lợi sẽ khỏi hẳn. Bạn cũng nên lưu ý chất lượng mật ong là lí do chủ chốt quyết định hiệu quả nhất của kỹ thuật này.

Xem thêm: 










Read more…

Các bài thuốc chữa sưng lợi hiệu quả

Sưng lợi tuy không phải tiền sử bệnh xa lạ, nhưng hầu như bệnh nhân đều không được ứng dụng cách điều trị đúng cách. Nếu kéo dài hiện trạng này, nướu chân răng sẽ không thể kháng cự lại với sự tấn công của các vi khuẩn gây bệnh trong khoang miệng!

cách chữa sưng lợi

Các triệu chứng phân biệt nhận biết bệnh sưng lợi:


Chảy máu chân răng sau khi vệ sinh răng xong

Hơi thở có mùi hôi, kém ăn do mất vị giác

Xảy ra lỗ hổng giữa răng và lợi

Bị tụt nướu chân răng

Lợi bị sưng đỏ, đau khi chạm vào

Răng lung lay, có khi rơi ra khỏi lợi.

Nguyên do gây ra hiện trạng sưng lợi là gì?


Có nhiều Nguyên do không giống nhau làm sưng lợi, mặc dầu trong nhiều vấn đề đấy hoàn toàn có thể là triệu chứng của một căn bệnh về lợi. Bạn cần phải tìm ra Lý do Chính xác để có thể theo đuổi tiến trình điều trị hòa hợp, biết rằng là tự chăm sóc ở nhà hay phải đi gặp chuyên gia nha khoa. Ở dưới đây là những Lý do thường gặp:

Đánh răng hay xỉa răng cách dùng không đúng. Nhiều khi sưng nướu lợi là do vệ sinh răng miệng không sạch, để mảng bám tích tụ nhiều tại những kẽ răng và ở mép lợi. Để chữa trị tình trạng này bạn cần đánh răng thật sạch và xỉa răng liên tiếp để loại bỏ đồ ăn thừa. Ngoài ra không nhưng thế mà, nhiều người xỉa răng quá mạnh cũng có thể làm sưng nướu răng.

Viêm lợi và nha chu răng. Nếu bạn không giữ vệ sinh răng miệng tốt thì các bệnh về lợi như viêm lợi và viêm nha chu răng hoàn toàn có thể phát triển thuận tiện. Viêm lợi không nghiêm trọng lắm và hoàn toàn có thể xử lý khá tương đối dễ nếu phát hiện sớm. Ngược lại, nha chu nguy hiểm hơn và hoàn toàn có thể buộc phải nhổ bỏ răng. Nếu nghi ngờ mình bị mắc một trong hai hiện trạng này thì bạn nên đi khám trung tâm nha khoa.

Loét trong miệng. Các vết loét làm nên trên lợi có thể dẫn tới đau và sưng. Chỉ cần nhìn bên ngoài bạn hoàn toàn có thể biết mình có bị loét miệng hay không, hay còn được gọi là viêm loét miệng; chúng có màu sắc trắng ở chính giữa với viền đỏ xung quanh. Cùng một thời điểm trong miệng hoàn toàn có thể xảy ra nhiều vết loét, nhưng chúng chữa trị được và không lây nhiễm.

Hóa học thăm khám. Một trong những bị tác dụng phụ không đang mong muốn của phương thức hóa học trị liệu là khiến sưng lợi và chảy máu, rất đau. Ngoài ra nó còn làm phát sinh những vết lở loét trên lợi. Mặc dù bạn hoàn toàn có thể xử lý những biểu hiện này nhưng tình trạng sẽ không dừng lại chừng nào bạn còn chỉ định trị bệnh bằng hóa chất.

Thuốc lá. Hút thuốc hay sử dùng những sản phẩm từ thuốc lá thường là Lý do góp phần gây sưng lợi. Thực tế thì người sử dụng những sản phẩm thuốc lá có khả năng mắc bệnh về lợi cao hơn hẳn so với người không áp dụng. Thành thử thao tác trước tiên để chữa sưng lợi là dừng hút thuốc.

Hóc môn. Sưng lợi chân răng cũng có thể do lượng hóc môn sản sinh ra nhiều, dẫn đến tăng lưu lượng máu chảy về lợi. Chúng bao gồm những loại hóc môn được sinh ra trong quá trình tuổi dậy thì, khi có kinh, mang thai hay lúc mãn kinh. Một số thuốc tránh khỏi thai cũng làm tăng những hóc môn này.

Phương thuốc chữa sưng lợi hiệu nghiệm


Thuốc uống


Bài 1: Thanh vị tán gia giảm: liên kiều 8g, bạch chỉ 10g, quy vĩ 12g, sinh địa 12g, đơn bì 12g, thăng ma 12g, hoàng liên 10g, phòng phong 12g, thạch cao 12g, sinh khương 3 lát, đại táo 5 quả. Sắc uống ngày 1 thang.
Bài 2: Thạch cao 20g, thăng ma 15g, hoàng liên 10g. Sắc uống ngày 1 thang.

Thuốc sử dùng tại chỗ


Bài 1: Bảo nha tán: thạch cao 40g, xuyên ô chế 40g, thảo ô chế 40g, hoa tiêu 40g. Tán bột mịn. Xát thuốc vào chân răng, khi ra nhiều nước miếng thì nhổ đi không được nuốt.

Bài 2: Thuốc cam xanh (thanh đại, ngũ bội tử, bạch phàn, mai hoa băng phiến). Loại thuốc cam không có chì, được Bộ Y tế Việt Nam cấp phép lưu hành, có ở những quầy thuốc. Dùng theo hướng dẫn vận dụng, sử dùng trước khi đi ngủ là tốt.

Bài 3: Bạch chỉ 4g, tế tân 4g, cao lương khương 4g, tất bát 4g, xuyên tiêu 4g, hương phụ 4g, phòng phong 4g. Sao ròn, tán bột. Xát thuốc vào chỗ đau.

Chăm nom, vệ sinh răng miệng phòng ngừa sưng lợi, chữa sưng lợi hiệu nghiệm


Để ngăn ngừa bệnh lý răng miệng, Cũng như ngăn không cho nhức răng sưng lợi tái phát, bạn hãy thực hành chăm nom răng miệng theo những định hướng sau đây:

Đánh răng đánh răng 3 lần hằng ngày, mỗi lần đánh đủ 3 mặt răng (trước, trong, trên) và trong thời gian 3 phút, nghiêng bàn chải một góc 45 độ so với lợi và chải từ chân răng xuống. Nhẹ bẫng chải mặt ngoài, mặt lưỡi và mặt nhai của mỗi răng. Nhẹ nhàng chải lưỡi để làm sạch vi khuẩn và góp phần cắt bỏ mùi gây phiền toái từ hơi thở.

Hạn chế ăn vặt, các đồ ăn chứa nhiều đường, nhất là bánh kẹo ngọt và nước tiểu khát có ga. Sau khi ăn nên súc miệng với nước hoặc chải răng sạch để đường không ghi chú trên răng.

Súc miệng với nước muối mỗi ngày để phòng tránh viêm nhiễm, sưng nướu lợi và làm sạch khoang miệng.

Xem thêm:




Read more…

Các cách chữa sưng lợi tại nhà hiệu quả

Sưng lợi chân răng là các biểu hiện bệnh về răng miệng hay gặp ở tất cả mọi người kể cả người lớn và trẻ nhỏ. Đó là căn bệnh đơn giản, phổ biến nhưng nếu không chữa trị kịp thời, để tái phát nhiều lần, bệnh sẽ rất tiện dụng có các tác hại nguy hiểm.

cách chữa sưng lợi

Sưng lợi là gì?


Sưng lợi chính là biểu hiện cho những bệnh lý trong khoang miệng, Nguyên do chính dẫ đến điều này Đây là do sâu răng và viêm lợi gây.

Sâu răng: Là các thương tổn của răng do vi khuẩn gây nên. Đó là tổn thương mà răng thật sẽ chẳng thể tôn tạo, vì răng chẳng thể tự khôi phục lại cấu tạo của răng khi đã bị phá vỡ. Vi khuẩn sẽ xâm nhập và phá vỡ cấu trúc của răng từ lớp ngoài cùng cho tới chân răng và vào phần tủy răng. Dẫn tới hiện tượng mất răng nếu không có cách khắc phục kịp thời.

Viêm lợi: Dấu hiệu chính của hiện trạng này là sưng tấy và đau nhức, Nguyên do chính cũng là do vi khuẩn tạo thành. Tình trạng này nếu để quá lâu, sẽ làm cho khách hàng phải chịu các cơn đau nhức dữ dội và thời gian lâu viêm lợi sẽ có thể biến chững thành bệnh nha chu răng và nặng hơn có thể khiến cho bạn mất đi cái răng đó.

Lý do gây ra sưng lợi


Chăm sóc răng miệng không đúng cách, mảng bám vi khuẩn trên răng chưa được làm sạch

Chương trình ăn uống chưa khoa học, thường ăn thức ăn mềm, kích thích nóng lạnh một cách đột ngột

Áp dụng rượu bia, uống rượu bia khiến răng đổi màu, chân răng yếu đi

Sự tụt giảm miễn dịch, đổi khác hormon trong cơ địa tạo điều kiện cho vi khuẩn phát triển

Sâu răng, vi khuẩn gây ra tổn thương phần lợi bao trùm

Phương án chữa sưng lợi ở tại nhà dễ dàng hiệu quả nhất


Cách chữa sưng lợi chân răng ngay ở nhà bằng muối


Pha một chút muối ấm và súc miệng 3 lần/ngày và hãy cam đoan là nước không quá nóng sẽ gây bỏng lợi.

Cách chữa sưng lợi ở tại nhà bằng dầu đinh hương hoặc dầu quế.


Đây là bài thuốc tuyệt vời trị viêm nhiễm nướu răng, đặc trưng đối với các cơn đau răng. Bạn có thể thoa loại dầu này vào chỗ nướu lợi bị đau. Nhai đinh hương cũng có thể giảm sưng. Hoặc rắc một tí quế vào nước ấm và uống loại nước này, cơn đau nhức răng hoàn toàn có thể giảm đáng kể.

Cách chữa sưng lợi chân răng ở nhà bằng đá lạnh


Đá lạnh có công dụng gây mê, giảm sưng đau rất hiệu nghiệm. Chườm đá lạnh lên vùng đau sẽ giúp những cơn đau răng sưng nướu chóng vánh tan biến. Bạn nên bỏ vài viên đá vào miếng vải mỏng để áp lên má, gần nơi bị đau, mát xa trong vòng ba phút. Làm như thế hai lần hằng ngày.

Cách chữa sưng lợi tại nhà bằng táo


Táo nhiều nước và chất chống oxy hóa, sau khi tiêu hóa sẽ thanh lọc dư lượng thực phẩm và vi khuẩn trong miệng. Các tính chất này rất hữu ích để trị sưng nướu răng, giảm mùi hôi. Cắt một miếng táo và nhai sau mỗi bữa ăn. Nếu bị viêm lợi, bạn hoàn toàn có thể ăn táo chừng 4-5 lần hằng ngày.

Cách chữa sưng lợi tại nhà bằng mật ong


Mật ong có đặc tính kháng khuẩn và tiệt trùng giúp trị bệnh nhiễm trùng nướu rất hữu hiệu. Sau khi đánh răng, bạn chỉ cần chà xát một lượng nhỏ mật ong vào vùng nướu chân răng có tình huống.

kiên trì thực hành cách trị bệnh viêm lợi tại nhà này thường xuyên bạn sẽ thấy hiệu nghiệm sửng sốt.

Chữa sưng lợi bằng cách bổ hoa quả nhiều Vitamin C


Bạn hoàn toàn có thể cung cấp vitamin C cho cơ thể bằng cách dùng những đồ ăn và trái cây. Bưởi cung cấp lượng vitamin C khá cao – nên ăn khoảng 1- 2 trái bưởi/ngày trong vòng nửa tháng.

Cách chữa sưng lợi chân răng ở nhà bằng chanh nguyên chất


Đặc tính tăng sức đề kháng trong nước ép chanh có tác dụng chữa những bệnh nhiễm trùng nướu chân răng. Hơn nữa, chanh chất chứa vitamin C, có thể giúp nướu chống các bệnh viêm nhiễm.

Bạn vắt nước cốt chanh và thêm một ít muối hòa lên thật kỹ. Quẹt hỗn hợp này lên răng và để trong vài phút, trước khi súc miệng bằng nước. Đây có gọi là phương pháp khắc phục viêm nướu ở nhà vô cùng hiệu quả nhất.

Xem thêm:



Read more…

Các cách chữa sưng lợi hiệu quả nhất

Viêm sưng chân răng bắt nguồn từ sự xâm nhập của vi khuẩn và mảng bám, cao răng tấn công trên vùng răng biến thành các lỗ sâu li ti. Nếu không được điều trị kịp thời, vi khuẩn ở chóp răng sẽ ăn sâu xuống xương ổ răng và lan ra nướu… Nếu người bệnh không biết biện pháp điều trị sưng nướu chân răng hay viêm sưng chân răng đúng cách, bệnh sẽ chỉ có chiều hướng tăng nặng mà không bao giờ khỏi hẳn.

cách chữa sưng lợi

Bệnh sưng lợi chân răng là gì?


Sưng nướu răng là hiện trạng lợi chuyển sang sắc màu đỏ, bầm dẫn đến đau nhức và cộm tác động đến ăn nhai cắn xé Hay như tinh thần của khách hàng. Viêm lợi ngày càng tiến triển nặng nếu không được điều trị sớm kịp thời, bệnh được chia thành 2 cấp độ:

Cấp độ nhẹ


Nướu răng bị sưng đỏ tấy nhẹ, không bị chảy máu chân răng, không có mủ khi ấn vào chưa có ảnh hưởng nghiêm trọng cho người dùng. Đó là giai đoạn rất đơn giản để chữa trị và cũng dễ dàng để tái phát lại.

Cấp độ nặng


Khi bị sưng lợi chưa được chạy chữa kịp thời sẽ tiến triển tạo thành những biểu hiện như chảy máu nướu lợi, hôi miệng và vẫn chưa xuất hiện mủ.

Vôi răng tích tụ, màu sắc răng xỉn, chảy máu chân răng, bị sưng mử, có mùi hôi gây phiền toái đặc trưng lợi có màu đỏ sẫm trông rất mất thẩm mỹ.

Dấu hiệu của sưng lợi chân răng


Chảy máu chân răng sau khi vệ sinh răng xong

Hơi thở có mùi hôi, kém ăn do mất vị giác

Xảy ra lỗ hổng giữa răng và lợi

Bị tụt nướu chân răng

Lợi bị sưng đỏ, đau khi chạm vào

Răng lung lay, có khi rơi ra khỏi lợi.

Nguyên nhân dẫn đến sưng lợi chân răng


Chăm nom răng miệng cách dùng không đúng, mảng bám vi khuẩn trên răng chưa được làm sạch

Chế độ ăn uống chưa khoa học, thường ăn thực phẩm mềm, kích thích nóng lạnh một cách đột ngột

Sử dụng chất kích thích, uống rượu bia khiến răng đổi màu sắc, chân răng yếu đi

Sự suy giảm miễn dịch, biến đổi hormon trong cơ địa làm cho vi khuẩn phát triển

Sâu răng, vi khuẩn gây tổn thương phần lợi bao trùm

Phương pháp điều trị sưng nướu tại nhà nhanh chóng hiệu quả nhất


Cách khắc phục sưng nướu răng răng hàm bằng nước muối


Muối có tác dụng chữa sưng viêm lợi khá dễ và hiệu nghiệm. Bạn chỉ cần pha một tí muối với một cố nước ấm rồi súc miệng ngày 3 lần, cơn đau nhức do sưng nướu chân răng hàm của bạn sẽ giảm thiểu một cách chóng vánh.

Biện pháp chữa sưng lợi chân răng bằng hành


Hành có tính kháng khuẩn, vô trùng công hiệu để trị những bệnh răng miệng dẫn tới sưng lợi chân răng. Nó có chất sulfuric và các chất ngừa oxy hóa làm giảm sưng, giảm những dấu hiệu sưng viêm.

Cắt một miếng hành sống, nhai trong vài phút có thể giảm sưng. Hoặc bạn hoàn toàn có thể ép hành chọn lọc nước sứt lên nướu giúp giảm đau.

Cách trị sưng lợi răng bằng tỏi


Không chỉ mình điều trị viêm nướu lợi mà còn giúp giảm đau tự nhiên. Nghiền nát một tép tỏi, thêm một chút muối và bôi dung dịch này vào chỗ nướu lợi bị viêm.

Biện pháp trị sưng lợi chân răng bằng đá cục


Áp đá cục lên vùng lợi hoàn toàn có thể gây tê nhẹ các dây thần kinh nhận thấy dẫn đến đau, kích thích tuần hoàn và giảm thiểu khoảng thời gian bị sưng. Bạn nên bỏ vài viên đá vào miếng vải mỏng để áp lên má, gần nơi bị đau, mát xa từ khoảng ba phút. Làm như vậy hai lần hằng ngày.

Chữa sưng nướu bằng lá bàng non


Trong lá bàng có chất chứa chất kháng khuẩn cao và rất thích hợp để chữa các bệnh răng miệng, làm sạch khoang miệng, loại bỏ mảng bám… Trong đấy, có công dụng trị bệnh hiệu quả viêm lợi.

Bạn chỉ cần rửa sạch lá bàng và cho vào nấu cùng với nước, sôi khoảng 30 phút là được. Lọc tổng hợp nước lá bàng và sử dụng nước đó xúc miệng mỗi ngày. Hoặc bạn cũng hoàn toàn có thể sử dụng khăn thấm nước lá bàng và phết vào chỗ viêm lợi. Lặp lại nhiều lần trong ngày cho đến khi thấy hiệu quả mang lại làm rõ.

Chữa sưng nướu lợi bằng nước ép việt quất


Nước ép việt quất tự nhiên chất chứa các chất ngừa oxy hóa, chống sưng viêm mạnh, tu bổ sức khỏe răng miệng. Nó còn điều hòa pH của nước bọt, giảm nấm, vi khuẩn. Bạn chỉ cần uống khoảng nửa ly nước việt quất hai lần mỗi ngày.

Phương pháp chữa sưng lợi bằng nước súc miệng chứa Hydrogen peroxide


Nước súc miệng chứa Hydrogen peroxide hoàn toàn có thể kiềm chế viêm lợi và các bệnh phơi nhiễm khác. Chất này có tính kháng khuẩn mạnh. Bạn có thể tự làm bằng 2 thìa cà phê Hydrogen peroxide trộn với nửa chén nước, áp dụng nước này súc miệng trong hai phút sau khi đánh răng.

Read more…

Tìm hiểu về sưng lợi và các cách chữa sưng lợi hiệu quả

Răng miệng là một bộ phận rất bức thiết trong sinh hoạt thường ngày của chúng ta. Việc mắc những bệnh về răng miệng khiến cho đa số người cảm giác rất khó chịu. Trong đấy, bệnh sưng lợi chân răng thường khiến cho người bị cảm thấy đau nhức vô cùng. Vậy nên mà đa số người đã tìm kiếm cách khắc phục triệu chứng trên.

chữa sưng lợi


Triệu chứng và triệu trứng của sưng nướu chân răng



Bệnh viêm lợi chu trình 2 hoàn toàn có thể tiến triển mà không hề đau đớn. Người mắc bệnh khó hoàn toàn có thể thấy được các dấu hiệu rành mạch, thậm chí ngay ở thời kỳ cuối của bệnh. 1 Số biểu hiện cho thấy bạn đang bị mắc bệnh viêm lợi là:

Lợi chảy máu trong và sau khi đánh răng.

Lợi đỏ, bị sưng tấy hoặc khi chạm vào dễ dàng dẫn tới đau đớn.

Hơi thở hôi liên tiếp hoặc vị giác kém khi ăn.

Vậy Nguyên nhân dẫn tới sưng lợi răng là gì?


Mảng bám cao răng chứa đựng vi khuẩn chính là Nguyên do chính yếu dẫn tới tình trạng sưng nướu lợi. Khi các mảng bám thực phẩm bám trên răng không được làm sạch, những con vi khuẩn sẽ chóng vánh phát triển và tiết ra độc tố khiến cho lợi răng bị sưng phồng lên; chảy máu dẫn đến đau nhức. Sưng lợi chân răng thường xảy ra do hai bệnh răng miệng dẫn tới như:

Bệnh sâu răng: Khi răng sâu đã tiến triển ở mức độ nặng là ăn mòn vào lớp ngà răng bên trong, người dùng sẽ nhận thấy đau nhức tại vị trí răng bị sâu đi kèm chứng sưng nướu chân răng. Nếu sâu răng không được trị bệnh kịp thời hoàn toàn có thể kéo theo các cơn đau nhức dai dẳng, thậm chí mất đi chức năng nhai của răng.

Bệnh viêm lợi: Bệnh này chính yếu là do vi khuẩn mảng bám tạo thành, khi mảng bám đồ ăn tích tụ ngày càng nhiều dưới nướu răng chúng sẽ tạo nên vôi răng bám chặt lên trên vùng răng tiếp đó tiết ra những độc tố dẫn đến phá hủy răng và những mô hợp tác tạo nên lợi răng bị sưng viêm; chảy máu, mùi hôi khó chịu…Nếu sưng nướu răng do viêm lợi dẫn tới không được chữa trị kịp thời, có thể gây ra những ảnh hưởng xấu về bệnh viêm nha chu; viêm quanh răng, lâu ngày hoàn toàn có thể gây tiêu xương, thậm chí mất răng bất kể khi nào.

Biện pháp chữa sưng lợi ngay ở nhà công hiệu


Cách trị sưng nướu ở nhà bằng túi trà


Lượng axít tannic trong túi trà đã qua vận dụng có thể giảm viêm lợi răng rất công hiệu. Sau khi ngâm túi trà trong nước sôi, bạn để nguội một ít. Đặt túi trà nguội lên phần lợi bị viêm trong khoảng 5 phút hoặc lâu hơn. Đó là biện pháp điều trị ngày tại nhà rất đơn giản giảm thiểu hiện trạng sưng nướu lợi.

Sử dùng kỹ thuật chườm đá


Khi vùng lợi của răng có hiện tượng bị đau và sưng tây thì chúng ta hoàn toàn có thể vận dụng đá để chườm sẽ chóng vánh mang lại công dụng tuyệt vời. Chúng ta hoàn toàn có thể thực hành cách này một cách hiệu quả nhất và thuận lợi bằng cách cho vài viên đá vào túi vải tiếp theo chườm bên ngoài phía vùng lợi bị sưng đau. 

Với cách này, hơi lạnh từ đá sẽ chích thuốc tê buốt giúp giảm sút đau của lợi. Song song nó sẽ làm cho những phần bị sưng phù nền xẹp xuống một cách chóng vánh.

Cách dùng chường đá là cách giúp gây tê liệt các dây thần kinh xung quanh vùng lợi bị sưng khiến chúng ta không còn cảm thấy đau nhức, gây khó chịu khi có mặt của chúng. Song song đó, nó giúp ức chế cải tiến của các vi khuẩn dẫn tới sưng viêm lợi.

Dầu đinh hương


Dầu đinh hương chất chứa những chất hoạt tính na ná như thuốc giảm sưng, chống viêm, rất tốt để chữa sưng nướu lợi. Tính kháng khuẩn của nó sẽ tiêu diệt vi khuẩn dẫn tới viêm nhiễm, giảm hôi miệng.

Bạn hãy làm ẩm một miếng bông với dầu đinh hương, chà lên vùng sưng đau chừng 2-3 phút, làm hai lần từng ngày. Bạn cũng hoàn toàn có thể cho 4-5 giọt dầu vào nước ấm để súc miệng ngày hai lần.

Vận dụng nước muối chữa sưng viêm lợi răng


Muối là một trong các vật liệu có tác dụng giảm đau sưng viêm lợi công hiệu. Bởi lẽ trong muối có cơ hội diệt các vi khuẩn dẫn tới hiện trạng đau buốt, bầm của vùng lợi. Từ đấy đem lại lợi bớt bị phơi nhiễm và mau chóng giảm sưng hiệu nghiệm. Cho nên mà muối là một trong các cách trị sưng nướu răng răng.

Thực hành cách này rất thuận lợi. Chúng ta chỉ cần pha chút muối với nước ấm là có được hỗn hợp kem nước muối để súc miệng mỗi ngày. Mỗi lần súc miệng 3 lần sẽ sẽ chóng vánh có hiệu quả mang lại. Nó giúp giảm sưng đau viêm một cách nhanh chóng. Đây là biện pháp điều trị đau răng cấp tốc được nhiều người dùng.

Chiết xuất vanilla


Có tính kháng sưng viêm, làm dịu răng lợi sưng đau, ngăn sự tân tiến của vi khuẩn, kiểm soát mùi.
Nhúng một miếng bông vào chiết tách vanilla và phết trực tiếp lên lợi sưng, dùng bốn lần mỗi ngày.

Áp dụng nha đam giúp giảm sưng lợi răng


Nha đam xa xưa được đa số người chứng thực về công dụng tích cực của nó trong việc kháng viêm, điều trị phù nề. Việc áp dụng nha đam sẽ mang đến chúng ta có những dưỡng chất chống sưng, chống phù ở vùng lợi hiệu nghiệm tốt.

Khi răng có hiện tượng lợi bị sưng lợi chúng ta hoàn toàn có thể lấy gel ở trong nha đam và sứt trực tiếp lên vùng lợi bi sưng đó. phương pháp khắc phục sưng nướu răng răng này sẽ giúp đỡ cho chúng ta chóng vánh thoát khỏi các hiện trạng khó chịu. Không những thế, chúng ta hoàn toàn có thể áp dụng gel nha đam để ăn kèm như chè cũng giúp cơ địa Giải nhiệt đào thải độc hiệu quả hơn.

Chữa sưng lợi chân răng bằng chanh


Nước chanh tươi là liều thuốc rẻ, hiệu quả cho lợi bị sưng đau. Nó có tính kháng sinh làm dịu viêm, tạo vành bảo vệ chống vi khuẩn dẫn tới hôi miệng.

Bạn cho nước ép chanh vào nước ấm để súc miệng chừng ba lần mỗi ngày.

Chữa sưng nướu bằng táo


Táo nhiều nước và chất chống oxy hóa, sau khi tiêu hóa sẽ thanh lọc dư lượng thức ăn và vi khuẩn trong miệng. Các tính chất này rất giúp ích để trị sưng nướu răng, giảm mùi hôi.

Cắt một miếng táo và nhai sau mỗi bữa ăn. Nếu bị viêm lợi, bạn có thể ăn táo chừng 4-5 lần hằng ngày.

Thận trọng


Để những phương pháp điều trị sưng nướu răng tại nhà Trên đây được hiệu quả nhất, bạn nên duy trì cách vệ sinh răng miệng đúng cách:

Đánh răng mỗi sáng thức dậy, trước khi đi ngủ và sau mỗi bữa ăn.

Dùng chỉ nha khoa làm sạch kẽ răng.

Nên sử dụng bàn chải đánh răng có lông mềm, thay bàn chải đánh răng 3 tháng/lần để hạn chế vi khuẩn.

Đi khám răng định kỳ 6 tháng/lần để lấy vôi răng, làm sạch những mảng bám trên răng, phát hiện ra bệnh kịp thời để sớm có phương pháp khắc phục.

Khi các dấu hiệu trước hết của bệnh sưng nướu chân răng diễn ra bạn nên chóng vánh đến Trung tâm bệnh viện đi khám răng để nha sĩ phát hiện bệnh sớm và chữa trị kịp thời.


Read more…